Skip to content Skip to sidebar Skip to footer

Das Karyogramm Des Menschen Arbeitsblatt Lösung

Table of Contents [Show]

Ordnung eines Karyogramms? (Schule, Biologie, Bio)
Ordnung eines Karyogramms? (Schule, Biologie, Bio) from www.gutefrage.net

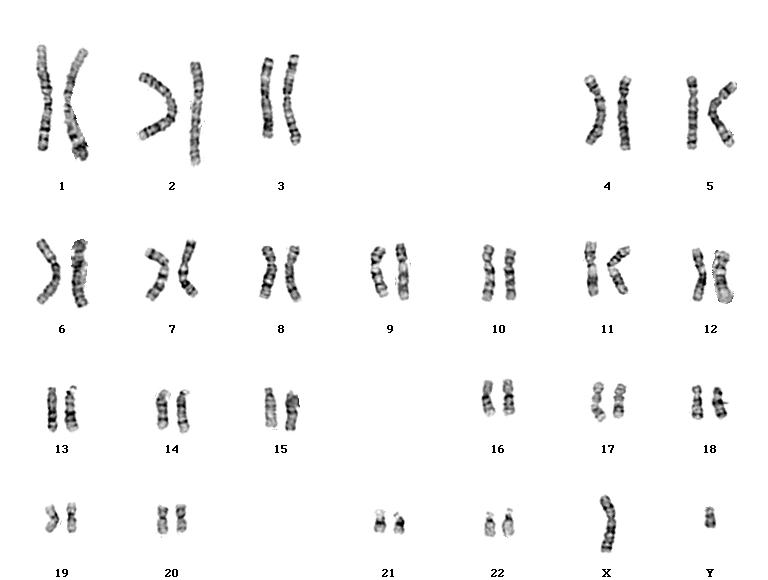
Was ist ein Karyogramm?

Ein Karyogramm ist eine Darstellung aller Chromosomen eines Organismus in einer bestimmten Reihenfolge. Es zeigt die Anzahl, Größe und Form der Chromosomen an und kann zur Diagnose von genetischen Erkrankungen verwendet werden.

Wie wird ein Karyogramm erstellt?

Ein Karyogramm wird durch eine Zellteilungstechnik namens Karyotypisierung erstellt. Hierbei werden Chromosomen aus einer Zellprobe herausgezogen und auf einen Glasobjektträger aufgebracht. Anschließend werden sie mit bestimmten Farbstoffen gefärbt und unter einem Mikroskop betrachtet.

Was sind die verschiedenen Teile des Karyogramms?

Das Karyogramm besteht aus 23 Paaren von Chromosomen, die numerisch durchnummeriert sind. Die ersten 22 Paare werden als Autosomen bezeichnet, während das 23. Paar als Geschlechtschromosomen bezeichnet wird. Die Geschlechtschromosomen können entweder XX (weiblich) oder XY (männlich) sein.

Wie kann ein Karyogramm zur Diagnose genetischer Erkrankungen verwendet werden?

Ein Karyogramm kann zur Diagnose von genetischen Erkrankungen verwendet werden, indem es Chromosomenanomalien wie Deletionen, Duplikationen oder Translokationen aufdeckt. Diese Anomalien können mit verschiedenen Krankheiten wie dem Down-Syndrom, Turner-Syndrom und Klinefelter-Syndrom in Verbindung gebracht werden.

Was sind die verschiedenen Arten von Chromosomenanomalien?

Es gibt mehrere Arten von Chromosomenanomalien, darunter Deletionen, Duplikationen, Inversionen, Translokationen und Aneuploidien. Deletionen und Duplikationen beziehen sich auf das Fehlen oder Vorhandensein eines Chromosomens oder eines Teils davon. Inversionen beziehen sich auf die Umkehrung eines Chromosomenabschnitts, während Translokationen den Austausch von Chromosomenmaterial zwischen nicht homologen Chromosomen beschreiben. Aneuploidien treten auf, wenn eine Zelle ein zusätzliches Chromosom oder ein fehlendes Chromosom hat.

Wie wird ein Karyogramm interpretiert?

Ein Karyogramm wird interpretiert, indem es nach Chromosomenanomalien durchsucht wird. Jedes Chromosomenpaar wird auf seine Größe, Form und Farbe untersucht, um Anomalien zu erkennen. Wenn eine Anomalie gefunden wird, wird sie auf der Karyogramm-Darstellung markiert und mit einer Beschreibung versehen.

Wie können Karyogramme in der Forschung verwendet werden?

Karyogramme können in der Forschung verwendet werden, um die Evolution von Arten und die Entstehung von Krankheiten zu untersuchen. Durch den Vergleich von Karyogrammen verschiedener Arten können Forscher genetische Unterschiede und Ähnlichkeiten feststellen. Karyogramme können auch verwendet werden, um die Wirkung von Umweltfaktoren auf Chromosomen zu untersuchen.

Wie kann man ein Karyogramm selbst erstellen?

Es ist möglich, ein Karyogramm selbst zu erstellen, indem man eine Zellprobe entnimmt und sie nach den oben beschriebenen Techniken färbt und untersucht. Es ist jedoch wichtig zu beachten, dass das Erstellen eines Karyogramms ein spezialisiertes Wissen und Ausrüstung erfordert und nicht von Laien durchgeführt werden sollte.

Fazit

Das Karyogramm des Menschen ist ein wichtiges Instrument zur Diagnose genetischer Erkrankungen und zur Erforschung der Evolution und Krankheitsentstehung. Es besteht aus 23 Paaren von Chromosomen, die numerisch durchnummeriert sind und zur Identifizierung von Anomalien untersucht werden. Während es möglich ist, ein Karyogramm selbst zu erstellen, erfordert dies spezialisiertes Wissen und Ausrüstung.

Kommentar veröffentlichen for "Das Karyogramm Des Menschen Arbeitsblatt Lösung"